Усмішка відіграє ключову роль у спілкуванні та формує перше враження. Красива, рівна посмішка не лише додає впевненості, а й створює відчуття доглянутості та здоров’я. На керамічні вініри ціна залежить від кількості зубів, матеріалу, технології виготовлення та складності підбору відтінку, проте вкладені кошти швидко окупаються через довговічність та ефект натуральної емалі.
Переваги вінірів із кераміки
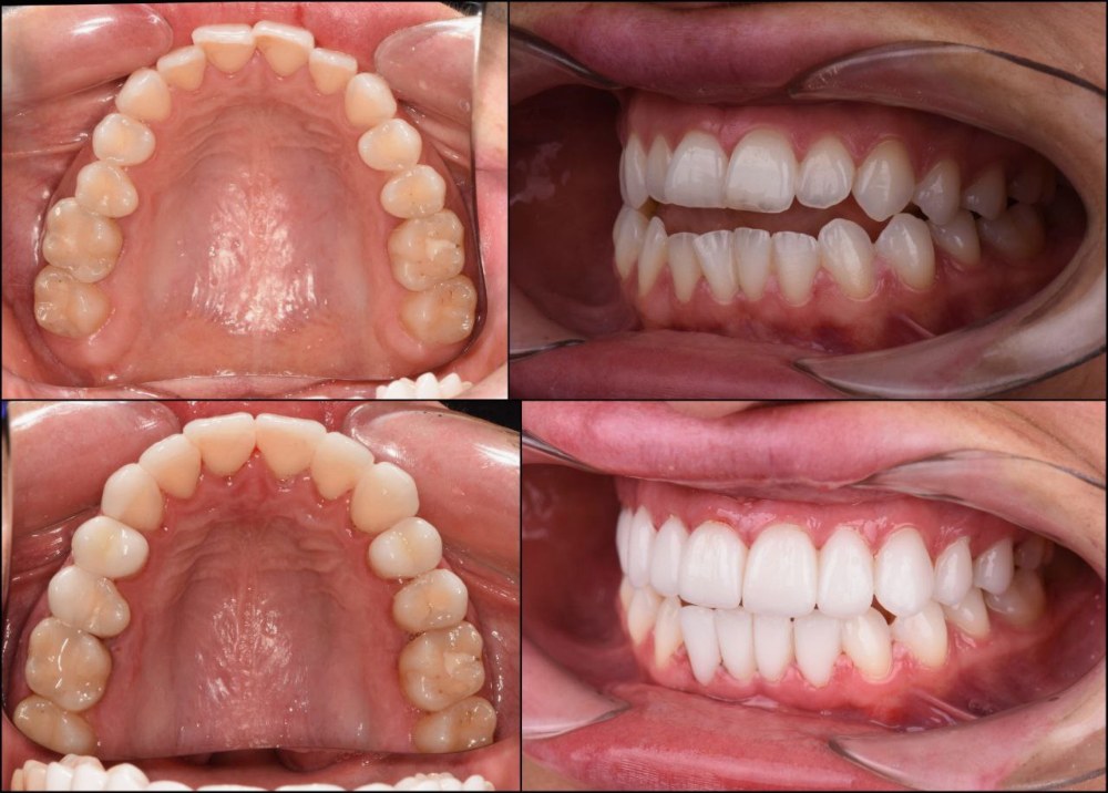
Вініри дозволяють приховати:
- тріщини;
- потемніння;
- стирання;
- нерівності зубів без агресивного обточування.
Вони створють ідеальний баланс між естетикою та функціональністю.
Довговічність та міцність матеріалу
Керамічні накладки витримують жувальне навантаження до 120 кг на зуб. Термін служби при правильному догляді складає 10-15 років, а актуальні на сьогодні технології виготовлення гарантують точність прилягання та відсутність сколів. Порівняно з композитними реставраціями, кераміка менш схильна до потемніння або стирання: ймовірність появи дефекту протягом перших 5 років не перевищує 2%. Висока стійкість до барвників від кави, чаю, вина або куріння робить її оптимальним вибором для людей із активним способом життя.
Мінімальне обточування зубів
Для встановлення знімається лише 0,3-0,7 мм емалі, що зберігає структуру зуба та природну міцність. Такий підхід значно знижує ризик підвищеної чутливості після процедури. Технологія дозволяє адаптувати накладки до будь-яких дефектів форми зубів та прикусу, а виготовлення займає 7-10 днів із застосуванням CAD/CAM систем, що забезпечує точність до 0,05 мм. Це дозволяє максимально щільно зафіксувати вініри та уникнути утворення повітряних кишень або нерівностей.

Керамічна реставрація зубів – натуральний вигляд
Керамічна реставрація зубів відтворює прозорість емалі, легку напівпрозорість на краях та природне відображення світла. Підбір відтінку проводиться за шкалою Vita або аналогічними системами, що дозволяє ідеально поєднати колір із натуральними зубами. Поверхня вініра стійка до нальоту та легко очищається, що підтримує гігієну на високому рівні. Протягом 10 років вони не втрачають блиск, а твердість поверхні практично не змінюється, що гарантує довготривалий естетичний ефект.
Вартість та етапи виконання процедури
Керамічні вініри ціна формується за рахунок:
- матеріалу;
- кількості зубів;
- складності підбору відтінку;
- технології виготовлення.
CAD/CAM технології можуть підвищити ціну на 20-30%, проте забезпечують ідеальну точність прилягання. Додатково враховується підготовка зубів: зняття емалі, корекція форми зуба, усунення старих пломб або лікування карієсу.
Як проводиться процедура
Процедура відбувається у кілька етапів. Спочатку проводиться детальна діагностика та планування: оцінка прикусу, стану зубів, дефектів емалі та підбір оптимального кольору. Наступний етап – мінімальне обточування та зняття відбитків, після чого лабораторія виготовляє накладки з точністю до сотих міліметра.
Потім проводиться примірка та корекція посадки, форми та відтінку. Остаточне кріплення здійснюється фотополімерним цементом, що гарантує щільне прилягання та захист від бактерій. Середня ціна одного вініра коливається від 500 до 800 доларів, залежно від матеріалу та складності роботи, і включає лабораторні витрати, цементування та роботу стоматолога.

Ще кілька особливостей
Адаптаційний період після встановлення триває 1-2 дні. Вініри не впливають на дикцію або прикус. Товщина 0,5 мм забезпечує природну форму зубного ряду. Щільне прилягання знижує ризик розвитку карієсу під накладкою до 1-2% протягом перших 5 років. Психологічно правильна усмішка підвищує впевненість у спілкуванні, покращує самооцінку та формує приємне перше враження.
Регулярна гігієна включає чистку щіткою з м’якою щетиною та використання зубної нитки. Професійне чищення раз на 6 місяців зберігає блиск і видаляє наліт. Вініри стійкі до барвників, але регулярна гігієна продовжує їхню естетику та здоров’я ясен.
Керамічні вініри – оптимальний варіант для тих, хто прагне довготривалого естетичного результату та збереження структури зубів. Міцність, натуральна прозорість, комфорт і тривалий термін служби роблять їх незамінним рішенням для реставрації та корекції усмішки. Інвестиція у якісний матеріал та точне встановлення забезпечує результат, який радує багато років, створюючи здоровий вигляд та впевненість у будь-яких ситуаціях.